Détartrage et contrôle régulier : pourquoi c’est essentiel pour votre sourire


Chirurgien dentiste et son patient

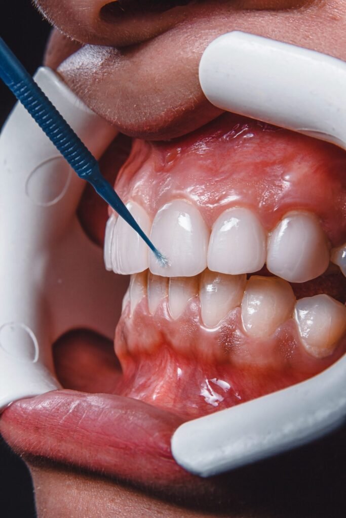
Un détartrage régulier et des contrôles dentaires périodiques sont essentiels pour maintenir une bonne santé bucco-dentaire et préserver l’esthétique de votre sourire. Même si vous vous brossez les dents correctement tous les jours, le tartre peut s’accumuler dans des zones difficiles à atteindre.

Pourquoi faire un détartrage ?

Le tartre favorise l’inflammation des gencives, la formation de caries et peut provoquer une parodontite si aucune intervention n’est effectuée. Le détartrage élimine les dépôts minéralisés et prévient les infections.

L’importance du contrôle régulier

Les contrôles dentaires permettent de détecter les problèmes à un stade précoce, de suivre l’évolution des soins et de recevoir des conseils personnalisés sur l’hygiène bucco-dentaire.

Conseils du Cabinet Dentaire de la Paix à Strasbourg

  • Planifiez un détartrage tous les 6 à 12 mois, selon les recommandations de votre dentiste.
  • Maintenez une hygiène quotidienne rigoureuse : brossage, fil dentaire et bain de bouche si nécessaire.
  • Signalez toute douleur ou saignement aux gencives dès qu’ils apparaissent.

Un suivi régulier permet non seulement de préserver votre sourire, mais aussi d’éviter des traitements plus complexes et coûteux à l’avenir.